多做题,通过考试没问题!
河南住院医师放射肿瘤科
睦霖题库
>
河南住院医师
>
河南住院医师放射肿瘤科
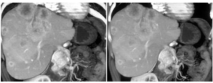
男,48岁,胃癌术后1年,未化疗,CT检查如图所示,最可能的诊断为()
A、肝癌
B、肝转移癌
C、肝血管瘤
D、肝脓肿
E、肝囊肿
正确答案:
B
答案解析:
有
进入题库查看解析
微信扫一扫手机做题
最新试题
·
关于肝脏病变的描述,错误的是()
·
脂肪肝的CT表现包括()
·
下述哪项CT值大于90HU()
·
下列正常胰腺CT表现,哪项不对()
·
下列关于肝豆状核变性的描述,哪项是错误的
·
关于腹膜壁层肿瘤,下列说法哪项是错误的(
·
女,34岁,右上腹痛,有发热,白细胞计数
·
胰头癌时CT影像中出现的"双管征"同时增
·
腹内实质性脏器病变,宜先选用的检查是()
·
关于胰腺在CT图像上的识别标志,正确的为
热门试题
·
下列哪项对诊断肝癌意义较大()
·
根据所提供的图像,患者右下象限病灶的最可
·
肝脏的富血供性转移瘤,其原发瘤不包括()
·
下述胆囊癌CT征象,哪项不对()
·
下列肝包虫囊肿影像,哪些提示有合并感染(
·
根据所提供的图像,该患者的最可能的诊断为
·
根据所提供的图像,最可能的诊断是()
·
关于Caroli病的CT表现,错误的是(
·
胆囊癌的CT表现分四型,下列哪型是错误的
·
下列关于肝门解剖结构的排列,正确的是()