多做题,通过考试没问题!
CT医师大型医用设备上岗证
睦霖题库
>
大型设备上岗证
>
CT医师大型医用设备上岗证
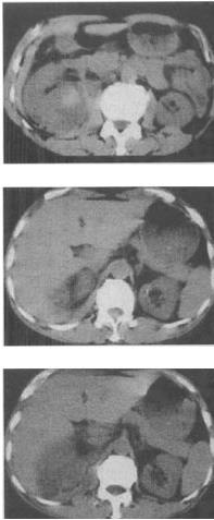
男,25岁,右腰部疼痛伴血尿,有外伤史,CT扫描如图所示,应诊断为()。
A、右肾挫伤并包膜下血肿
B、右肾血管平滑肌脂肪瘤
C、右肾癌
D、右肾梗死
E、右肾脓肿
正确答案:
A
答案解析:
有
进入题库查看解析
微信扫一扫手机做题
最热试题
·
颅脑试题2
·
骨骼系统试题1
·
颅脑试题1
·
呼吸、循环系统试题1
·
脊柱试题1
·
胸部试题2
·
物理基础和仪器设备试题3
·
物理基础和仪器设备试题1
·
五官和颈试题3
·
呼吸、循环系统试题8
最新试题
·
哪项不属于脾梗死的CT表现()。
·
下述有关肝癌的叙述,不正确的是:()
·
肝硬化的CT表现不正确的是()。
·
CT对甲状腺癌的诊断作用主要是哪一项:()
·
不易引起视神经孔变小的疾病是:()
·
颅脑疾病轴位CT扫描的定位征象中,下列哪一项不正确:()
·
哪项不属于胃溃疡间接征象()。
·
膀胱CT扫描的主要目的是:()
·
患者女,71岁,咳嗽,咳痰,胸部隐痛2个月余,结合影像学检查,
·
急性粟粒性肺结核病变早期出现的影像是:()