多做题,通过考试没问题!
吉林住院医师耳鼻咽喉科
睦霖题库
>
吉林住院医师
>
吉林住院医师耳鼻咽喉科
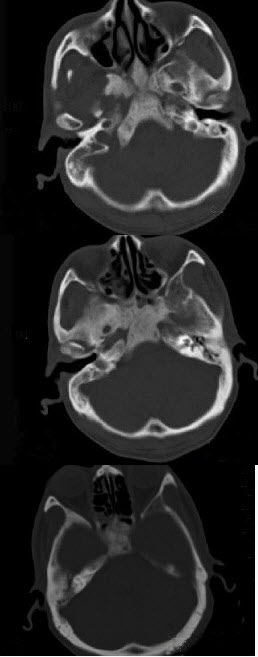
男性,56岁,鼻咽癌放疗后复查,CT扫描如图所示,请选择正确的答案()。
A、化脓性骨髓炎
B、骨结核
C、致密性骨炎
D、放疗后骨炎
E、骨瘤
正确答案:
D
答案解析:
有
进入题库查看解析
微信扫一扫手机做题
最新试题
·
鼻咽纤维血管瘤位于鼻咽部或侵入鼻腔、鼻窦
·
咽旁隙外方通()。
·
后上型扁桃体周脓肿切开排脓的位置应于()
·
睡眠呼吸暂停的标准为()。
·
阻塞性睡眠呼吸暂停低通气综合征的治疗方法
·
急性扁桃体炎的局部并发症常有()。
·
阻塞性呼吸暂停是指()。
·
小儿咽后脓肿检查处理时应()。
·
扁桃体角化症()。
·
萎缩性咽炎()。
热门试题
·
与鼻咽癌的描述相符的是()。
·
鼻咽部淋巴回流的二级淋巴结为()。
·
全身性疾病中可引起慢性咽炎的是()。
·
关于“梅核气”正确的是()。
·
阻塞性睡眠呼吸暂停低通气综合征一般是指(
·
关于慢性咽炎正确的是()。
·
咽部狭窄患者行修复术时,可采用的修复组织
·
对喉咽的描述,正确的是()。
·
急性扁桃体炎发作期可采取的治疗方法有()
·
患者出现牙关紧闭、张口困难的是()。