试题预览
1、患者女性,45岁,CT平扫,右肾影均匀增大,内有多房囊样结构,肾实质变薄,增强扫描对比剂进入囊腔形成“液—液平面”,首先考虑下列哪种病变()。
- A、多发性肾囊肿
- B、多囊肾
- C、肾盂积水
- D、肾盂癌
- E、肾结核
【正确答案-参考解析】:参加考试可见 点击进入查看
4、患者影像检查中B超发现右肾有2cm大小结节,回声略高,不均匀,CT示结节内密度混杂,CT值-60~40Hu不等,边缘清楚,首先应诊断下列哪种疾病()。
- A、肾母细胞瘤
- B、肾腺癌
- C、肾平滑肌脂肪瘤
- D、肾盂癌
- E、肾囊肿出血
【正确答案-参考解析】:参加考试可见 点击进入查看
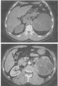
5、 女,48岁,左腰部胀痛不适2个月余,根据所示图像,最可能的诊断是()。 

- A、左侧囊性肾癌
- B、左侧肾囊肿
- C、左侧多囊肾
- D、左侧肾脓肿
- E、左侧肾积水
【正确答案-参考解析】:参加考试可见 点击进入查看