多做题,通过考试没问题!
甘肃住院医师感染科
睦霖题库
>
甘肃住院医师
>
甘肃住院医师感染科
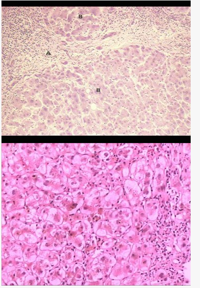
如图所示,急性重型肝炎的主要病理变化是()
A、毛细胆管淤胆
B、肝细胞灶性坏死
C、汇管区结缔组织增生
D、肝小叶及汇管区单核细胞浸润
E、肝细胞广泛性坏死
正确答案:
E
答案解析:
有
进入题库查看解析
微信扫一扫手机做题
最新试题
·
细菌性痢疾的传染源可以是()
·
流行性腮腺炎的并发症有()
·
SARS的传播途径不包括()
·
中毒性菌痢的临床特征哪项除外()
·
阿米巴痢疾的典型症状是()
·
广泛应用抗痨药物以来明显减少的并发症()
·
对疑似流脑患者留取标本进行病原学检查,下
·
血吸虫病的实质是()
·
典型霍乱腹泻的临床特点为()
·
男,39岁,农民,高热、头痛5天入院,死
热门试题
·
流行性出血热应与下列哪些疾病鉴别()
·
以内源性感染为主的肺结核,胸片示病灶呈多
·
男,20岁,8月15日来诊,腹泻半
·
结核性干性胸膜炎最重要的体征是()
·
关于疟疾的流行病学,下列哪项不正确()
·
流脑病人出现呼吸衰竭,最常见的原因是()
·
引起儿童黄疸型肝炎最常见的病原为()
·
对携带有EBV的B淋巴细胞起杀伤作用的细
·
皮肤炭疽的临床特征为()
·
流感的治疗()