多做题,通过考试没问题!
CT医师大型医用设备上岗证
睦霖题库
>
大型设备上岗证
>
CT医师大型医用设备上岗证
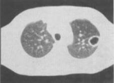
患者女,49岁,午后低热,咳嗽2个月余,结合影像学检查,最可能的诊断是()。
A、肺癌
B、肺结核
C、肺脓肿
D、肺囊肿
E、支气管扩张
正确答案:
B
答案解析:
有
进入题库查看解析
微信扫一扫手机做题
最热试题
·
胸部试题3
·
脊柱试题1
·
胸部试题2
·
颅脑试题5
·
物理基础和仪器设备试题3
·
腹部试题2
·
呼吸、循环系统试题9
·
盆腔试题1
·
胸部试题5
·
物理基础和仪器设备试题2
最新试题
·
患者女,6岁半,咳嗽发热3天,体温39℃,胸片如图,最可能的诊断
·
X线片表现为多个小叶的云絮状致密影,边缘模糊,其内可见大小不等
·
外伤后关节囊内出现"积脂血征"的原因是:()
·
发生颈部淋巴结转移,与原发肿瘤大小有关者是:()
·
当门静脉出现栓塞时,引起血流动力学异常,增强扫描时不可能出现
·
下列哪种扫描层厚、层距参数属于连续、无间隔扫描:()
·
下列关于窗位的概念,描述正确的是:()
·
患者男性,44岁,有10年饮酒史,8年前曾患肝炎,CT示肝脏左叶和尾
·
肝硬化时血流动力学的主要改变是:()
·
下列有关像素的概念,描述正确的是:()