多做题,通过考试没问题!
吉林住院医师耳鼻咽喉科
睦霖题库
>
吉林住院医师
>
吉林住院医师耳鼻咽喉科
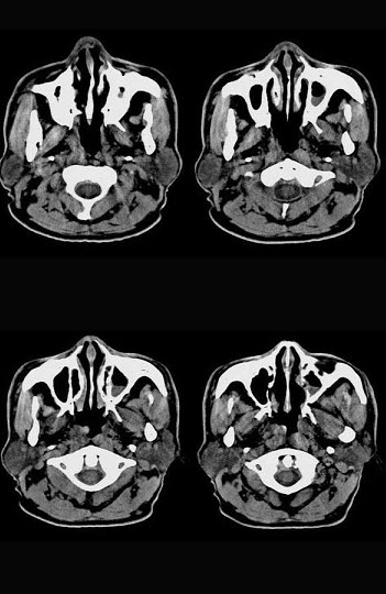
男,61岁,流鼻血三天。如图所示最可能的诊断为()。
A、鼻咽淋巴滤泡增生
B、鼻咽腺样体增生
C、鼻咽纤维血管瘤
D、小唾液腺瘤
E、鼻咽部息肉
正确答案:
A
答案解析:
有
进入题库查看解析
微信扫一扫手机做题
最新试题
·
扁桃体切除术后一般4小时可进()。
·
颈深上淋巴结上群在()。
·
急性扁桃体炎涂片检查出病原体多为()。
·
鼻咽癌累及三叉神经可致()。
·
男,67岁,口咽部异物感约8个月,伴口咽
·
咽壁由内至外分为()。
·
咽旁隙内的重要结构为()。
·
阻塞性睡眠呼吸暂停低通气综合征患者具有(
·
男,65岁,左侧颈部隆起3个月,查左侧乳
·
与鼻咽癌说法不相符的是()。
热门试题
·
睡眠呼吸暂停的标准为()。
·
关于鼻咽癌的说法正确的是()。
·
颈深部的咽旁隙的化脓性炎症()。
·
慢性咽炎的病理分型有()、()、()及(
·
检查见咽部粘膜弥漫充血,腭扁桃体肿大,其
·
患阻塞性睡眠呼吸暂停低通气综合征的成人患
·
急性滤泡性扁桃体炎可见()。
·
简述急性扁桃体炎的临床表现。
·
关于扁桃体周脓肿不包括()。
·
肥胖者易发生阻塞性睡眠呼吸暂停低通气综合