多做题,通过考试没问题!
吉林住院医师耳鼻咽喉科
睦霖题库
>
吉林住院医师
>
吉林住院医师耳鼻咽喉科
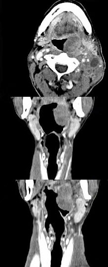
男,67岁,口咽部异物感约8个月,伴口咽部疼痛,患者无明显发热。如图所示最可能的诊断为()。
A、扁桃体结核伴淋巴结转移
B、扁桃体脓肿伴淋巴结转移
C、扁桃体癌伴淋巴结转移
D、扁桃体淋巴瘤
E、下咽癌伴淋巴结转移
正确答案:
C
答案解析:
有
进入题库查看解析
微信扫一扫手机做题
最新试题
·
AHI为20~40次,最低Sa0为65%
·
引起开放性鼻音的疾病正确的是()。
·
临床上鼻咽癌需与哪些疾病相鉴别()。
·
扁桃体切除术后出现继发性出血,常发生于(
·
行扁桃体术术后应注意的是()。
·
扁桃体切除术后继发性出血常发生于()。
·
鼻咽癌早期诊断率不高的原因是()。
·
前上型扁桃体周脓肿切开排脓的部位一般是(
·
喉咽部恶性肿瘤根据发生部位可位于()。
·
女,4岁,右侧颈部可扪及一包块约两个月,
热门试题
·
有关鼻咽癌的说法,错误的是()。
·
口咽部的淋巴主要回流至()。
·
儿童期引起打鼾的最常见疾病是()。
·
鼻咽纤维血管瘤起源于枕骨底部、蝶骨体及翼
·
吞咽中枢是位于()。
·
患者,男性,35岁。咽痛、发热伴头痛5天
·
腭帆肌组的作用是()。
·
早期鼻咽癌的症状不包括()。
·
关于咽后脓肿的并发症不应有()。
·
人体的末梢免疫器官有()。