多做题,通过考试没问题!
CT医师大型医用设备上岗证
睦霖题库
>
大型设备上岗证
>
CT医师大型医用设备上岗证
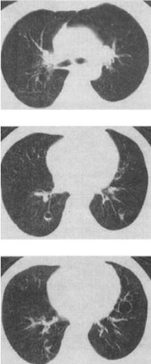
患者女,23岁,咳嗽咳痰反复发作,根据CT图像,最可能的诊断是()。
A、支气管扩张并感染
B、多发肺气囊
C、多发性肺囊肿并感染
D、多发性肺脓肿
E、大叶性肺炎
正确答案:
C
答案解析:
有
进入题库查看解析
微信扫一扫手机做题
最热试题
·
物理基础和仪器设备试题1
·
盆腔试题2
·
呼吸、循环系统试题6
·
呼吸、循环系统试题9
·
腹部试题4
·
胸部试题1
·
胸部试题6
·
脊柱试题1
·
五官和颈试题2
·
五官和颈试题3
最新试题
·
CT平扫心室水平见降主动脉右侧脊柱前软组织块影,内含气体,口服
·
中颅窝与颞下窝相连,且经过:()
·
患者,男,46岁。发热、咳嗽5天,肺部可闻及湿啰音。CT检查示双下
·
包裹性胸腔积液的好发部位是:()
·
X线诊断矽肺的肯定依据是:()
·
最容易产生囊性变的椎管内神经源性肿瘤是:()
·
豆纹动脉是由下列哪一支动脉发出:()
·
腰椎结核中,哪型最常见:()
·
关于腹膜肿瘤的CT表现,错误的是哪项:()
·
下列哪项描述是不正确的()。