多做题,通过考试没问题!
吉林住院医师耳鼻咽喉科
睦霖题库
>
吉林住院医师
>
吉林住院医师耳鼻咽喉科
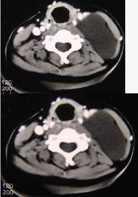
男性,40岁,颈部出现无痛性囊性包块2年余,CT扫描如图所示,最可能诊断为()。
A、淋巴管瘤
B、血管瘤
C、淋巴结肿大
D、神经源性肿瘤
E、颈动脉鞘瘤
正确答案:
A
答案解析:
有
进入题库查看解析
微信扫一扫手机做题
最新试题
·
真性颈动脉瘤()。
·
第2鳃裂瘘管外瘘口多位于()。
·
颈深淋巴结上群一般不收集哪一淋巴回流()
·
起源于颈丛神经的神经鞘膜瘤多在()。
·
下列易致皮下或纵隔气肿的疾病有()。
·
MRI检查()。
·
喉返神经支配()。
·
可能为甲状舌管囊肿的是()。
·
声门上型喉癌的早期临床表现常为()。
·
包绕颌下腺、腮腺的颈筋膜为()。
热门试题
·
颌下腺、颌下淋巴结位于()。
·
关于血管瘤,下列叙述何者正确()。
·
40岁,女性患者,双侧甲状腺肿大,CT扫
·
女,72岁,六年前于右面颊部扪及一包块,
·
起源于臂丛神经的神经鞘膜瘤多在()。
·
患者,女性,32岁,因发现颈部肿块一个月
·
女,17岁,发现左侧颈部包块半年余,PE
·
咽及食管开放性损伤可出现()。
·
女,47岁,下颈部触及一包块约五年余,C
·
颈部淋巴干()。