多做题,通过考试没问题!
CT医师大型医用设备上岗证
睦霖题库
>
大型设备上岗证
>
CT医师大型医用设备上岗证
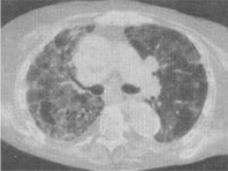
患者,女,45岁,气急,咳嗽,胸痛,手、足关节痛,关节肿胀,结合CT图像,最可能的诊断是()。
A、肺癌
B、特发性肺间质纤维化
C、系统性红斑狼疮
D、硬皮病
E、类风湿肺病
正确答案:
E
答案解析:
有
进入题库查看解析
微信扫一扫手机做题
最热试题
·
颅脑试题1
·
呼吸、循环系统试题4
·
脊柱试题1
·
颅脑试题3
·
胸部试题3
·
腹部试题3
·
物理基础和仪器设备试题1
·
呼吸、循环系统试题2
·
呼吸、循环系统试题7
·
颅脑试题4
最新试题
·
正常成人前列腺最大径是:()
·
婴幼儿,肺纹理增浓,模糊,肺下野内带有片状阴影,密度较淡,边
·
脑干最常见的肿瘤是()。
·
肾结核肾内广泛播散的病理学基础是:()
·
眼外肌从眶尖的腱环向前行附着于:()
·
下列关于颞骨胆脂瘤的描述,错误的是哪一项:()
·
最大的脑池是:()
·
结节性硬化症与下列哪种病变无关:()
·
成年人眼球钙化的三个常见病因是:()
·
小肠包括十二指肠和空回肠,容易发生于小肠近段或十二指肠恶性肿