多做题,通过考试没问题!
CT医师大型医用设备上岗证
睦霖题库
>
大型设备上岗证
>
CT医师大型医用设备上岗证
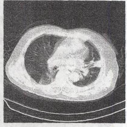
患者发热、咳痰2个月。CT检查如图所示,最可能的诊断是()。
A、支气管扩张
B、肺段隔离症
C、多发转移癌
D、肺炎
E、左肺下叶不张
正确答案:
D
答案解析:
有
进入题库查看解析
微信扫一扫手机做题
最热试题
·
呼吸、循环系统试题4
·
腹部试题1
·
颅脑试题3
·
腹部试题6
·
五官和颈试题3
·
颅脑试题5
·
呼吸、循环系统试题3
·
盆腔试题2
·
呼吸、循环系统试题6
·
呼吸、循环系统试题9
最新试题
·
下列哪一项不是急性胆囊炎的CT表现:()
·
下列哪一种检查方法对肝血管瘤的诊断最敏感、最具特征性:()
·
关于肝癌CT平扫表现,描述错误的是哪一项:()
·
下列哪项是继发性肺结核所不具备的()。
·
前纵隔不常见的肿瘤是()。
·
小叶性肺炎是指炎症累及()。
·
颌面外伤CT检查最好选用:()
·
CT平扫心室水平见降主动脉右侧脊柱前软组织块影,内含气体,口服
·
CT检查中,图像重组与图像重建的主要区别是:()
·
CT图像显示技术中,应用多而且最重要的技术是:()