多做题,通过考试没问题!
CT医师大型医用设备上岗证
睦霖题库
>
大型设备上岗证
>
CT医师大型医用设备上岗证
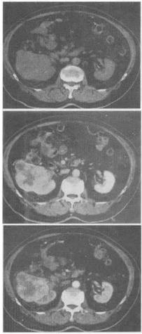
患者,男,51岁。右肾区不适4个月余,有镜下血尿。CT扫描结果见图。最有可能的诊断是()。
A、肾癌
B、肾盂癌
C、肾错构瘤
D、肾结核
E、肾腺瘤
正确答案:
A
答案解析:
有
进入题库查看解析
微信扫一扫手机做题
最热试题
·
物理基础和仪器设备试题2
·
泌尿、生殖系统试题6
·
消化系统试题4
·
呼吸、循环系统试题6
·
盆腔试题2
·
泌尿、生殖系统试题2
·
腹部试题3
·
颅脑试题5
·
泌尿、生殖系统试题1
·
消化系统试题1
最新试题
·
关于前列腺癌的描述,错误的是:()
·
中晚期胃癌”分型中,不包括哪型?()
·
以下哪一种CT表现最有助于诊断脑内肿瘤:()
·
肺内病变正确诊断首先是确定:()
·
下列有关硬膜外血肿的CT表现应除外:()
·
一般不在肺癌组织学分型之中的肿瘤类型是()。
·
关于继发性肺结核的特点说法正确的是()。
·
患者女,25岁,低热,乏力,微咳,有蛔虫史,胸片见两肺下部斑状
·
患者,男性,65岁。CT示左额顶叶有一个3.5cm×4.0cm的混杂密度区
·
X线平片怀疑骨肉瘤,CT检查的主要目的是:()