多做题,通过考试没问题!
CT医师大型医用设备上岗证
睦霖题库
>
大型设备上岗证
>
CT医师大型医用设备上岗证
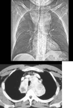
患者男,41岁,体检X线提示纵隔增宽,CT检查如图,最可能的诊断是()。
A、淋巴瘤
B、纵隔畸胎瘤
C、胸腺瘤
D、间皮囊肿
E、胸内甲状腺肿
正确答案:
E
答案解析:
有
进入题库查看解析
微信扫一扫手机做题
最热试题
·
呼吸、循环系统试题5
·
物理基础和仪器设备试题1
·
腹部试题1
·
五官和颈试题3
·
五官和颈试题2
·
胸部试题2
·
胸部试题3
·
腹部试题6
·
物理基础和仪器设备试题2
·
胸部试题4
最新试题
·
参与组成眼眶底壁的骨结构主要是:()
·
排尿性膀胱尿路造影对诊断下述哪种疾病有重要作用:()
·
以下对转移性肝癌的描述错误的是:()
·
一般单对比常规钡餐X线检查可发现的胃癌是:()
·
与一般肝细胞性肝癌相比,以下哪一项不是纤维板层样肝细胞癌的特
·
患者男,64岁,患糖尿病,最近3天出现发热,伴颈静脉显露,结合C
·
当窗宽为250,窗位为50时,其CT值显示范围为:()
·
关于胆管结石CT表现,错误的是哪一项:()
·
十二指肠球部溃疡最常发生于:()
·
矽肺结节融合团块少见于:()