多做题,通过考试没问题!
河南住院医师放射肿瘤科
睦霖题库
>
河南住院医师
>
河南住院医师放射肿瘤科
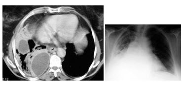
男,54岁,发热、胸痛1月余,继往有酗酒史,结合CT图像,最可能的诊断是()
A、脓胸
B、肺脓肿
C、大叶性肺炎
D、肺囊虫病
E、肺癌
正确答案:
A
答案解析:
有
进入题库查看解析
微信扫一扫手机做题
最新试题
·
以下CT表现哪项不支持支气管囊肿的诊断(
·
淋巴结转移的诊断标准是()
·
胸部CT片上,支气管气相可见于()
·
肺隔离症的CT表现,错误的是( )
·
下列关于胸腺瘤的观点,不正确的是()
·
男,59岁,咳嗽,咳痰,痰中带血2月余,
·
支气管肺隔离症的供血来自()
·
关于结节病临床特点,下列说法错误的是()
·
膈脚外侧积液提示()
·
右肺根内结构如图,自上而下依次为()
热门试题
·
以下关于对比剂副反应救治的论述哪项是错误
·
女,36岁,左胸部疼痛不适5天,CT图像
·
女,68岁,咳嗽伴胸痛胸闷1月,CT检查
·
外伤后的患者,根据所提供的图像,最可能的
·
女,64岁,发热、咳嗽1周。胸部CT扫描
·
男,55岁,呼吸困难,气喘,查体桶状胸体
·
女,8岁,如图所示,最可能的诊断为()
·
韦格肉芽肿病CT影像特征为()
·
肺结核应与哪种疾病鉴别()
·
胸膜凹陷征形成的病理基础是()。