多做题,通过考试没问题!
河南住院医师放射肿瘤科
睦霖题库
>
河南住院医师
>
河南住院医师放射肿瘤科
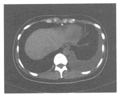
女,36岁,左胸部疼痛不适5天,CT图像如图,应诊断为()
A、胸膜间皮瘤
B、胸腔积液
C、腹腔积液
D、胸膜增厚
E、胸膜钙化斑
正确答案:
B
答案解析:
有
进入题库查看解析
微信扫一扫手机做题
最新试题
·
结核最常侵犯纵隔的()
·
女,36岁,左胸部疼痛不适5天,CT图像
·
肺肉瘤的CT征象,错误的是()
·
周围型肺癌检查应首选( )
·
关于肺转移瘤的CT表现,正确的是()
·
类癌的类型中不包括()
·
下述哪项不符合胸膜结核瘤的影像特点()
·
女,64岁,发热、咳嗽1周。胸部CT扫描
·
男,36岁,呼吸困难,咳嗽,咳黏稠痰,糖
·
女,45岁,颈强直、发热咳痰2周余,结合
热门试题
·
应与石棉肺鉴别的疾病有()
·
区别肺叶发育不全与肺隔离症最佳的检查方法
·
常位于中纵隔的病变是()
·
女,32岁,腹痛,腹泻便秘交替出现,解黏
·
大叶性肺炎的CT征象是()
·
肺部CT的应用指征不包括()
·
肺类风湿性病区别于特发性肺间质纤维化的肺
·
肺结核基本病变的包括()
·
有关结节病,不正确的是()
·
心包积液最常见的原因是()