多做题,通过考试没问题!
河南住院医师放射肿瘤科
睦霖题库
>
河南住院医师
>
河南住院医师放射肿瘤科
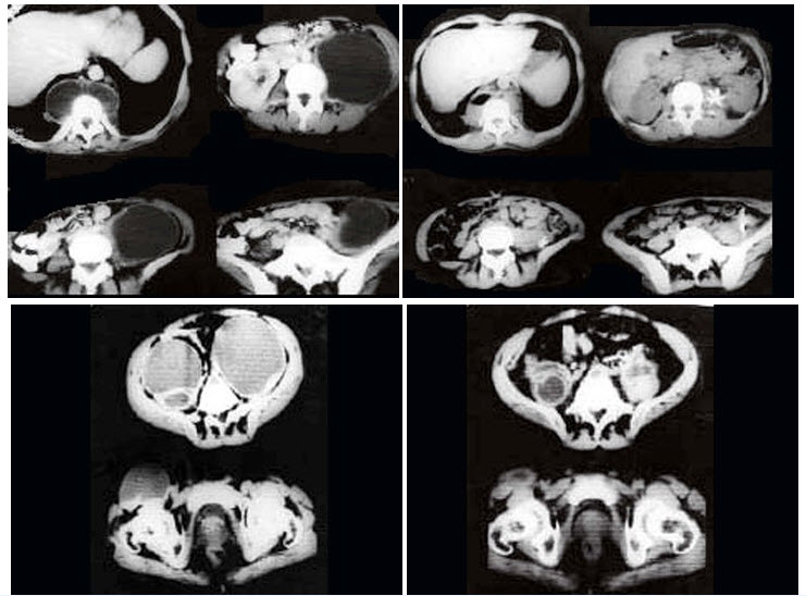
女,34岁,咳嗽,腰背疼痛二年,CT检查如图,最可能的诊断是()
A、结核性脓肿
B、囊肿
C、淋巴管瘤
D、卵巢囊肿
E、卵巢囊腺瘤
正确答案:
A
答案解析:
有
进入题库查看解析
微信扫一扫手机做题
最新试题
·
男,57岁,1年前无明显诱因反复出现嗜睡
·
男,15岁,下腹疼痛不适,结合图像,最可
·
第二肝门的解剖结构组成是()
·
男,72岁,右上腹痛1月,AFP阴性,无
·
患者发热,结合图像,最可能的诊断为()
·
肝癌患者,平扫见肿瘤边缘更低密度环状带,
·
男、52岁,1小时前车祸,伤及左季肋区,
·
男,46岁,反复右上腹部不适、消化不良数
·
根据所提供的图像,最可能的诊断是()
·
男,31岁,急性腹痛、上腹部压痛反跳痛,
热门试题
·
男,66岁,肥胖,有糖尿病史,CT检查如
·
患者,女,56岁,上腹隐痛半年余,黑便。
·
关于肝脓肿脓腔影像,下列描述哪项不对()
·
女,34岁,咳嗽,腰背疼痛二年,CT检查
·
下腔静脉受肝癌侵犯和癌栓形成CT表现(
·
根据所提供的图像,最可能的诊断是()
·
静脉药瘾者并发热,结合图像,最可能的诊断
·
关于胰腺肿瘤的描述,正确的是()
·
55岁男性,体检发现肝占位,CT平扫示病
·
胆囊癌的CT表现分四型,下列哪型是错误的