多做题,通过考试没问题!
CT医师大型医用设备上岗证
睦霖题库
>
大型设备上岗证
>
CT医师大型医用设备上岗证
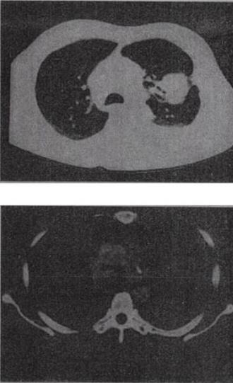
患者,女,68岁,咳嗽伴胸痛闷1个月CT检查如图,最可能的诊断为()。
A、左上肺不张
B、左上肺周围型肺癌伴胸膜转移
C、左上肺血管瘤
D、左上肺软骨肉瘤伴胸膜转移
E、左上肺结核
正确答案:
B
答案解析:
有
进入题库查看解析
微信扫一扫手机做题
最热试题
·
脊柱试题1
·
物理基础和仪器设备试题1
·
四肢试题1
·
呼吸、循环系统试题5
·
腹部试题2
·
胸部试题1
·
呼吸、循环系统试题1
·
颅脑试题2
·
颅脑试题5
·
颅脑试题6
最新试题
·
纵隔肿瘤中可随吞咽动作而上下移动的是:()
·
最常发生肾上腺转移瘤的原发性肿瘤是:()
·
厚壁空洞是指空洞壁大于()。
·
在短期内可以消失的肺内球形病变是:()
·
进行性梗阻性黄疸患者行快速增强扫描,胰头部出现不规则低密度区
·
以下有关X线衰减的叙述哪项是正确的:()
·
进入胸廓入口后,气管两侧各有3条大血管,分别是颈总动脉、锁骨下
·
干骺端临时钙化带是指:()
·
关于膀胱癌的CT表现,错误的是:()
·
纵隔肿瘤中,见不到钙化的是()。