多做题,通过考试没问题!
CT医师大型医用设备上岗证
睦霖题库
>
大型设备上岗证
>
CT医师大型医用设备上岗证
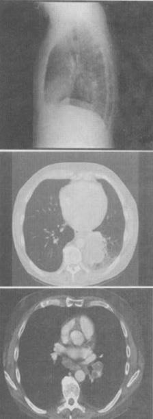
患者60岁,男,体检胸片发现异常,CT检查如图,最可能的诊断是()。
A、肺癌
B、错构瘤
C、肺结核
D、韦格肉芽肿
E、支气管腺瘤
正确答案:
A
答案解析:
有
进入题库查看解析
微信扫一扫手机做题
最热试题
·
腹部试题1
·
胸部试题1
·
胸部试题2
·
呼吸、循环系统试题4
·
呼吸、循环系统试题1
·
胸部试题4
·
盆腔试题1
·
呼吸、循环系统试题2
·
五官和颈试题3
·
物理基础和仪器设备试题1
最新试题
·
关于肺内支气管与肺动脉的下列描述中哪一项是错误的:()
·
后前位胸片上左下肺心缘旁可见"双边影",左侧膈肌升高,是下列哪
·
下列不符合心包积液诊断的X线征象是:()
·
下列有关表皮样囊肿的说法,错误的是哪一项:()
·
肝细胞性肝癌平扫CT征象不可能出现:()
·
多平面重组的处理技术属于:()
·
患者,女,25岁,腰痛2年,CT示腰4右侧椎旁有一2cm×3cm软组织密
·
急性胆囊炎最常见的原因是:()
·
患者,男,54岁,胸痛1个月伴加重,CT如图,最可能的诊断是()
·
先天性肺动脉狭窄以哪种类型最多见?()