多做题,通过考试没问题!
CT医师大型医用设备上岗证
睦霖题库
>
大型设备上岗证
>
CT医师大型医用设备上岗证
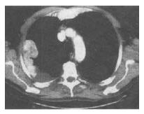
患者,男,54岁,胸痛1个月伴加重,CT如图,最可能的诊断是()。
A、淋巴瘤
B、右侧胸膜转移瘤
C、右侧胸膜间皮瘤
D、右侧胸膜增厚
E、右上肺不张伴胸膜增厚
正确答案:
C
答案解析:
有
进入题库查看解析
微信扫一扫手机做题
最热试题
·
胸部试题5
·
呼吸、循环系统试题8
·
胸部试题4
·
呼吸、循环系统试题7
·
脊柱试题2
·
四肢试题1
·
呼吸、循环系统试题2
·
颅脑试题4
·
物理基础和仪器设备试题3
·
胸部试题3
最新试题
·
以下有关CT值不正确的描述为()
·
眼上裂通过的结构有哪些:()
·
脊柱的脊索瘤好发于:()
·
首先转移至耳前、腮腺周围及腮腺内的淋巴结:()
·
子宫平滑肌瘤(简称子宫肌瘤),首选影像筛查方法是:()
·
患者女,56岁,乳腺癌手术后,未行化疗,结合CT图像,最可能的诊
·
结节病患者CT表现为肺门及纵隔淋巴结肿大,双肺见斑片状磨玻璃影
·
新生儿缺氧性脑病,CT呈现"双圈征"是指:()
·
颌面外伤CT检查最好选用:()
·
关于肺动脉栓塞CT表现的描述,不正确的是:()