多做题,通过考试没问题!
CT医师大型医用设备上岗证
睦霖题库
>
大型设备上岗证
>
CT医师大型医用设备上岗证
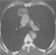
男,45岁,眼睑上抬困难3个月,CT检查如图。最可能的CT诊断为()。
A、畸胎瘤
B、神经纤维瘤
C、胸腺瘤
D、淋巴结增生
E、纵隔型肺癌
正确答案:
C
答案解析:
有
进入题库查看解析
微信扫一扫手机做题
最热试题
·
五官和颈试题1
·
胸部试题6
·
颅脑试题1
·
呼吸、循环系统试题6
·
五官和颈试题2
·
胸部试题4
·
呼吸、循环系统试题2
·
腹部试题5
·
盆腔试题2
·
物理基础和仪器设备试题3
最新试题
·
男性生殖结核在临床上最明显的表现是:()
·
膀胱癌的CT分期包括(1974年UICC):()
·
日前CT常用的重建矩阵为:()
·
前列腺癌多发生骨转移,其表现多为哪一种:()
·
患者,男性,48岁。头痛,CT示鞍上池前角有一直径0.8cm软组织密度
·
不属于CT伪影的是:()
·
骨关节结核的主要感染途径是:()
·
脊柱最常见的良性原发性肿瘤是:()
·
肺内钙化X线表现为高密度影,肺错构瘤内发生的特征性钙化为:()
·
患者,女,21岁,咯血1周,X线胸片示:右上肺大片状、云絮状阴影