多做题,通过考试没问题!
CT医师大型医用设备上岗证
睦霖题库
>
大型设备上岗证
>
CT医师大型医用设备上岗证
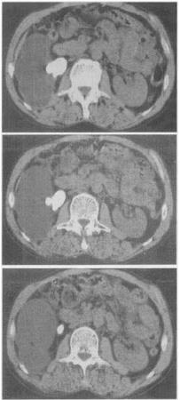
患者,女。48岁。反复血尿伴右侧腰痛7个月。CT扫描图像见图。最有可能的诊断是()。
A、肾囊肿
B、肾结核
C、多囊肾
D、肾脓肿
E、肾结石
正确答案:
E
答案解析:
有
进入题库查看解析
微信扫一扫手机做题
最热试题
·
五官和颈试题3
·
胸部试题3
·
腹部试题3
·
脊柱试题1
·
呼吸、循环系统试题2
·
呼吸、循环系统试题6
·
呼吸、循环系统试题8
·
泌尿、生殖系统试题7
·
颅脑试题5
·
物理基础和仪器设备试题1
最新试题
·
下列正常肺纹理的表现,哪一条是错误的:()
·
正常男性盆腔结构的描述不正确的是:()
·
对肺错构瘤的描述,正确的是:()
·
诊断法洛四联症的“金标准”是()。
·
关于血源性肺脓肿不正确的是:()
·
肝硬化再生结节T加权像表现低信号,因()。
·
患者,男性,40岁。右眼突,CT示眼球后肿块,内有静脉石样钙化,
·
肝血管瘤与小肝癌的主要鉴别点是:()
·
支持椎体血管瘤的CT影像表现是:()
·
韩-薛-柯病的最好发于()。