多做题,通过考试没问题!
CT医师大型医用设备上岗证
睦霖题库
>
大型设备上岗证
>
CT医师大型医用设备上岗证
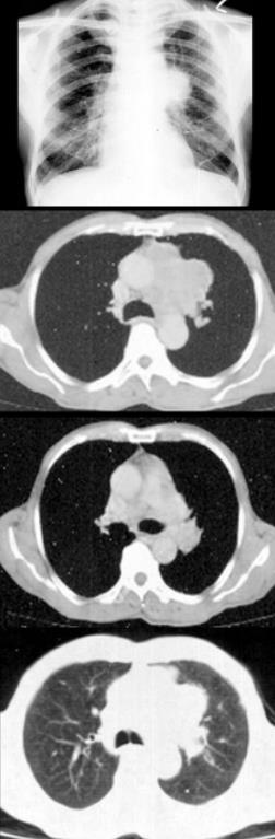
患者60岁,男,有长期吸烟史,左声带麻痹、声音嘶哑2个月,结合胸片和CT,最可能的诊断是()。
A、肺癌
B、肺结核
C、尘肺
D、肺炎
E、肺结节病
正确答案:
A
答案解析:
有
进入题库查看解析
微信扫一扫手机做题
最热试题
·
呼吸、循环系统试题6
·
腹部试题3
·
呼吸、循环系统试题1
·
胸部试题2
·
物理基础和仪器设备试题2
·
五官和颈试题1
·
胸部试题4
·
五官和颈试题2
·
胸部试题1
·
腹部试题2
最新试题
·
CT的放射状伪影通常产生于:()
·
关于门静脉瘤栓的描述,不正确的是()。
·
下列关于左侧上腔静脉的错误描述是:()
·
下面关于脑室系统的正确描述是:()
·
内乳淋巴结属于胸内淋巴结:()
·
先天性肺动脉狭窄以哪种类型最多见?()
·
患者X线胸片表现:肺血增多,主动脉结大小正常,肺动脉段轻度突出
·
下列哪一项对鉴别非感染性高密度肾囊肿是最重要的:()
·
颅脑疾病轴位CT扫描的定位征象中,下列哪一项不正确:()
·
有关颞下窝的叙述哪项正确:()