多做题,通过考试没问题!
CT医师大型医用设备上岗证
睦霖题库
>
大型设备上岗证
>
CT医师大型医用设备上岗证
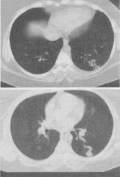
患者男,30岁,偶尔干咳,结合图像,最可能的诊断是()。
A、左下肺感染
B、左下肺结核
C、左下肺错构瘤
D、左下肺炎性假瘤
E、左下肺AVM
正确答案:
E
答案解析:
有
进入题库查看解析
微信扫一扫手机做题
最热试题
·
呼吸、循环系统试题2
·
五官和颈试题1
·
腹部试题6
·
颅脑试题6
·
颅脑试题2
·
颅脑试题4
·
物理基础和仪器设备试题3
·
胸部试题3
·
五官和颈试题3
·
呼吸、循环系统试题7
最新试题
·
肾盂肿瘤首选的检查方法是:()
·
患者X线胸片表现:肺血增多,主动脉结大小正常,肺动脉段轻度突出
·
腰椎结核中,哪型最常见:()
·
蛛网膜囊肿的好发部位依次为:()
·
子宫肌瘤发生退变是指:()
·
原发性肝癌的组织学类型不包括:()
·
下列哪一种病属于髓鞘形成异常:()
·
前列腺癌骨转移,常表现为:()
·
下述关于心包上隐窝的CT表现中,哪一项是错误的:()
·
患者男性,37岁,体检时B超偶然发现左肾上方包块,CT平扫见左侧肾