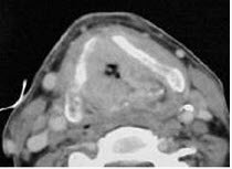
男,55岁,声嘶6年,有长期吸烟史。检查:无呼吸困难。喉镜检查:声带慢性充血,可见右侧声带可见菜花样新生物,右侧声带活动固定,喉部CT检查如下图:
诊断首先考虑()。
- A、声带白斑
- B、慢性喉炎
- C、喉癌
- D、喉乳头状瘤
- E、喉结核
正确答案:C
答案解析:有

微信扫一扫手机做题
男,55岁,声嘶6年,有长期吸烟史。检查:无呼吸困难。喉镜检查:声带慢性充血,可见右侧声带可见菜花样新生物,右侧声带活动固定,喉部CT检查如下图:
诊断首先考虑()。

微信扫一扫手机做题