多做题,通过考试没问题!
天津住院医师耳鼻咽喉科
睦霖题库
>
天津住院医师
>
天津住院医师耳鼻咽喉科
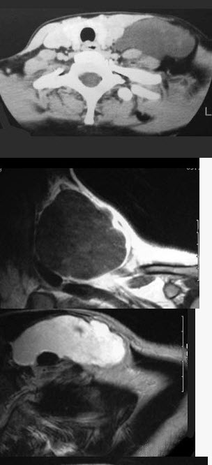
37岁女性,左侧颈部肿块渐进性增大,无压痛,局部皮温不高,CT、MRI扫描如图所示,请选择正确的描述或诊断()。
A、CT发现左侧颈后三角区可见低密度肿块影
B、增强扫描未见强化
C、MRI的T
1
WI呈低信号
D、MRI的T
2
WI呈高信号,其内可见分隔
E、考虑为淋巴管囊肿
正确答案:
A,B,C,D,E
答案解析:
有
进入题库查看解析
微信扫一扫手机做题
最新试题
·
膜迷路积水可见于下列哪几个病()。
·
急性化脓性中耳炎及乳突炎多见于儿童的原因
·
症状不明显,可有短暂声嘶。喉镜下见吸气时
·
心脏瓣膜病其次受累部位是()。
·
男,43岁,右颈部扪及一包块,CT如图所
·
治疗花粉症最有效的方法是()。
·
眶上神经分布区感觉消失提示脑脊液鼻漏位于
·
声波直接经颅骨途径使外淋巴发生相应波动,
·
鼻中隔偏曲可引起()。
·
患者,男,49岁,鸽子饲养员,左侧鼻塞,
热门试题
·
颈浅淋巴结沿下面哪个结构排列()。
·
扁桃体周脓肿的常见致病菌有()。
·
内照射个人剂量监测的生物样品一般不包括(
·
诊断鼻中隔脓肿最有价值的方法是()。
·
如患者对特定的人、物、事不能准确说出,该
·
以下哪种情况不是气管内插管后出现的并发症
·
樊尚咽峡炎患者咽涂片可检出()。
·
阻塞性睡眠呼吸暂停低通气综合征的患者都需
·
患者,女性,15岁,2006年10月不明
·
食管壁包括()。