多做题,通过考试没问题!
吉林住院医师耳鼻咽喉科
睦霖题库
>
吉林住院医师
>
吉林住院医师耳鼻咽喉科
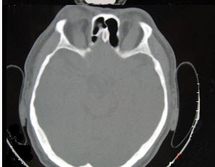
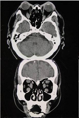
女性50岁,消瘦、多饮多食,脖子粗大,双侧眼球突出,一年余,CT检查如图所示,应考虑为()。
A、眼型格氏病
B、甲状腺眼病
C、炎性假瘤
D、横纹肌肉瘤
E、眶部结核
正确答案:
B
答案解析:
有
进入题库查看解析
微信扫一扫手机做题
最新试题
·
可引起Horner综合征的疾病有()。
·
患者,女性,28岁,发热头痛4天,伴咽旁
·
惟一能明确诊断气管闭合性损伤的体征是()
·
颈浅淋巴结沿下面哪个结构排列()。
·
对颈部解剖的描述,错误的是()。
·
男,49岁,反复发作性癫痫,双手震颤5年
·
对上例患者最常用的治疗方法是()。
·
患者,女性,50岁,右侧颈中部偏下有一质
·
咽及食管开放性损伤可出现()。
·
显示颈深部血管丰富的软组织肿块,下面哪个
热门试题
·
甲状舌瘘()。
·
患者,女性,32岁,因发现颈部肿块一个月
·
患者,女性,50岁,右侧颈中部偏下有一质
·
治疗颈动静脉瘘的最有效方法是()。
·
50岁女性,颈部无痛性肿块,逐渐增大,听
·
声门旁间隙的内界()。
·
炎性颈部肿块分为()和()肿块。
·
低分化的扁桃体鳞癌最佳的治疗方式是()。
·
颈部蜂窝织炎常由下列哪些细菌引起()。
·
扁桃体恶性肿瘤常见的转移部位有()。