多做题,通过考试没问题!
吉林住院医师耳鼻咽喉科
睦霖题库
>
吉林住院医师
>
吉林住院医师耳鼻咽喉科
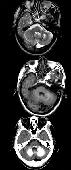
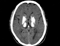
男,49岁,反复发作性癫痫,双手震颤5年,伴头昏行走不稳,生化检查:血清钙降低,血清磷升高,请根据所提供图像,选择最可能的诊断()。
A、Fahr病
B、一氧化碳中毒性脑病
C、霉变甘蔗中毒
D、肝豆状核变性
E、甲旁低
正确答案:
E
答案解析:
有
进入题库查看解析
微信扫一扫手机做题
最新试题
·
腮腺隙内包括下列哪些结构()。
·
气管闭合性损伤的处理原则为()。
·
40岁,女性患者,双侧甲状腺肿大,CT扫
·
颈部血管、后组脑神经位于()。
·
支持颈部良性肿块的是()。
·
急性淋巴结炎应行()。
·
颈淋巴结的晚期表现是()。
·
对颈深淋巴结下群的描述,正确的是()。
·
患者,女性,32岁,因发现颈部肿块一个月
·
下列易致皮下或纵隔气肿的疾病有()。
热门试题
·
先天性颈部瘘管是()。
·
下列哪项不是颌内动脉的分支()。
·
65岁男性,吸烟史30余年,近半年来颈部
·
副神经的体表投影()。
·
女,19岁,发现左颈部无痛性肿块2年余,
·
放射性核素检查()。
·
Ⅳ区()。
·
与甲状舌管囊肿发病有关的是()。
·
根据鳃裂囊肿及瘘管的胚胎发育来源不同分为
·
男,16岁,咽异物感6年,无咽部出血及吞