多做题,通过考试没问题!
吉林住院医师耳鼻咽喉科
睦霖题库
>
吉林住院医师
>
吉林住院医师耳鼻咽喉科
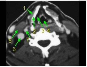
下面是一颈部CT图,其中结构标志不正确的是()。
A、2为甲状软骨
B、3为声门旁隙
C、5为胸锁乳突肌
D、6为颈内动脉
E、7为颈内动脉
正确答案:
D
答案解析:
有
进入题库查看解析
微信扫一扫手机做题
最新试题
·
鳃裂囊肿()。
·
丝裂霉素()。
·
头颈肿瘤综合治疗中,强调计划性综合治疗,
·
诊断囊状水瘤较为简便有效的方法为()。
·
第二鳃裂瘘管外瘘口多位于(),内瘘口多位
·
肺部结核感染颈部淋巴结的途径是()。
·
男性,40岁,发现左侧颈部小包块,CT、
·
哪一型甲状腺癌常合并内分泌综合征()。
·
Ⅳ区()。
·
男,16岁,咽异物感6年,无咽部出血及吞
热门试题
·
女,43岁,反复头痛10个月,CT检查如
·
咽丛位于()。
·
支持颈部良性肿块的是()。
·
起源于颈丛神经的神经鞘膜瘤多在()。
·
对咽、食管闭合性损伤的治疗,正确的是()
·
颈清扫术应当沿椎前筋膜的浅层进行,以防损
·
B超检查可了解()。
·
患者,男,27岁,10年前因颈前包块并皮
·
对颈部细胞学及病理学检查的描述,正确的是
·
囊状水瘤多发于()。