多做题,通过考试没问题!
吉林住院医师耳鼻咽喉科
睦霖题库
>
吉林住院医师
>
吉林住院医师耳鼻咽喉科
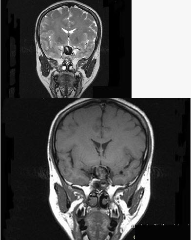
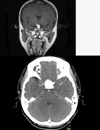
女,43岁,反复头痛10个月,CT检查如图,最可能诊断为()。
A、颅咽管瘤
B、垂体瘤
C、颈内动脉瘤
D、脑膜瘤
E、胶质瘤
正确答案:
C
答案解析:
有
进入题库查看解析
微信扫一扫手机做题
最新试题
·
如图,下面解剖标志正确的是()。
·
下列哪一三角属颈后三角区()。
·
女性35岁,发热、盗汗近3个月,颈部摸到
·
颈浅部炎症不包括()。
·
关于颈部肿块性质的4个"80%"和3个"
·
神经鞘膜瘤多发生于()。
·
副神经的体表投影()。
·
颈动.静脉瘘的临床表现有()。
·
女,50岁,左下颈部扪及一质硬、表面高低
·
声门旁间隙的后界()。
热门试题
·
患者,男,43岁,10个月前无意中发现左
·
气管开放性损伤可出现()。
·
颈部5群淋巴结中,不包括()。
·
完全性甲状舌管瘘管内瘘口位于()。
·
舌骨上肌群包括()。
·
男,60岁,因吞咽疼痛伴咽异物感一个月就
·
下列哪些属于囊性水瘤临床表现()。
·
由颈动脉硬化所引起的颈动脉瘤,多发生于(
·
颈部血管瘤的治疗不包括()。
·
第一鳃裂瘘管外瘘口多位于(),内瘘口多位