多做题,通过考试没问题!
吉林住院医师耳鼻咽喉科
睦霖题库
>
吉林住院医师
>
吉林住院医师耳鼻咽喉科
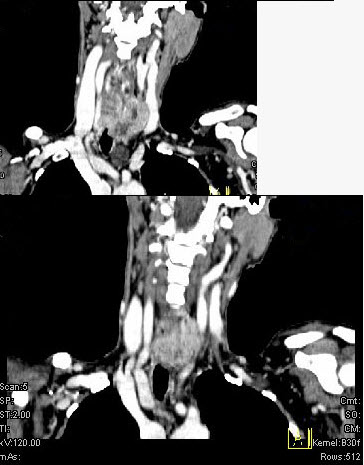
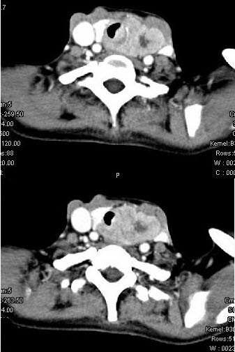
女,50岁,左下颈部扪及一质硬、表面高低不平的包块,肿块逐渐增大,现感吞咽困难,CT如图所示,最可能诊断为()。
A、甲状腺癌
B、食管癌
C、喉癌
D、甲状腺原发淋巴瘤
E、颈部神经鞘瘤
正确答案:
A
答案解析:
有
进入题库查看解析
微信扫一扫手机做题
最新试题
·
B超检查可了解()。
·
颈动脉窦位于()。
·
诊断颈动脉瘤包括()。
·
所有的分区性颈清扫均常规保留下面那些结构
·
男,55岁,声嘶6年,有长期吸烟史。检查
·
创伤引起的颈动脉瘤多发生于()。
·
舌下腺、舌神经血管及舌下神经位于()。
·
女,32岁,颈部包块8年余,包块逐渐长大
·
颈动脉创伤性栓塞多发生在()。
·
诊断囊状水瘤较为简便有效的方法为()。
热门试题
·
声门上型喉癌的早期临床表现常为()。
·
颈淋巴结的早期表现是()。
·
女,25岁、发现双侧颈部肿块近10年,C
·
Ohngren界限主要用于描述下面哪种鼻
·
肩胛舌骨肌、锁骨上缘、胸锁乳突肌围成()
·
颈清扫术应该遵循下列哪些原则()。
·
环磷酰胺()。
·
区域性颈清扫术主要用于()。
·
颈部淋巴结包括()。
·
下面哪个血管不是颈外动脉的分支()。