多做题,通过考试没问题!
吉林住院医师耳鼻咽喉科
睦霖题库
>
吉林住院医师
>
吉林住院医师耳鼻咽喉科
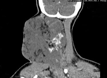
女,32岁,颈部包块8年余,包块逐渐长大,CT如图所示,最可能的诊断为()。
A、颈部神经纤维瘤
B、颈部横纹肌肉瘤
C、颈部巨大血管瘤
D、颈部神经鞘瘤
E、颈部异位甲状腺
正确答案:
C
答案解析:
有
进入题库查看解析
微信扫一扫手机做题
最新试题
·
甲状舌瘘()。
·
对颈深淋巴结下群的描述,正确的是()。
·
DSA检查()。
·
颈部肿块根据发生的时间分为()和()肿块
·
男性,70岁,右侧颈部无痛性肿块3个月,
·
颈内动脉在颈部的分支有()。
·
甲状腺腺癌多为()。
·
女性50岁,消瘦、多饮多食,脖子粗大,双
·
患者,男,52岁,发现左颈部包块3个月伴
·
气管闭合性损伤的处理原则为()。
热门试题
·
颈侧部肿块,有明显搏动和收缩期杂音,压迫
·
为了解甲状腺癌侵及气管及食管的情况,应做
·
第1鳃裂囊肿及瘘管的内瘘口多位于()。
·
颈动脉三角区圆形肿块,质硬,边界清。可以
·
与甲状舌管囊肿发病有关的是()。
·
内听动脉多发自()。
·
头颈肿瘤综合治疗中,强调计划性综合治疗,
·
某患者,左侧颈部胸锁乳突肌前缘及舌骨水平
·
手术切除适用于颈淋巴结结核的情况是()。
·
第1鳃裂囊肿及瘘管()。