多做题,通过考试没问题!
吉林住院医师耳鼻咽喉科
睦霖题库
>
吉林住院医师
>
吉林住院医师耳鼻咽喉科
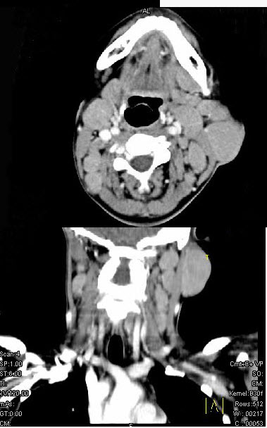
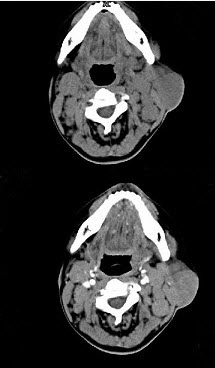
女,25岁、发现双侧颈部肿块近10年,CT如图,最可能的诊断为()。
A、巨淋巴结增生症
B、淋巴瘤
C、转移癌
D、淋巴结结核
E、淋巴结炎
正确答案:
A
答案解析:
有
进入题库查看解析
微信扫一扫手机做题
最新试题
·
对颈动脉体瘤的描述,正确的是()。
·
下列哪项不是颅内先天性肿瘤()。
·
40岁,患者,左面部渐进性增大的包块,M
·
不易发生颈淋巴结转移的肿瘤是()。
·
甲状舌管囊肿()。
·
下面是一颈部CT图,其中结构标志不正确的
·
颈清扫术应该遵循下列哪些原则()。
·
起源于舌下神经的神经鞘膜瘤多在()。
·
喉部结核感染颈部淋巴结的途径是()。
·
甲状舌管瘘管常穿过()。
热门试题
·
下列不属于鳃裂囊肿及瘘管临床表现的是()
·
起源于颈丛神经的神经鞘膜瘤多在()。
·
试述颈部肿块的治疗原则。
·
右侧胸腔器官的恶性肿瘤易转移到()。
·
第3鳃裂囊肿及瘘管的内瘘口多位于()。
·
甲状腺腺癌多为()。
·
后天性颈动-静脉瘘的特征症状是()。
·
第2鳃裂囊肿及瘘管囊肿多位于()。
·
治疗颈部开放性血管、神经损伤的原则是()
·
声门旁间隙的后界()。