多做题,通过考试没问题!
吉林住院医师耳鼻咽喉科
睦霖题库
>
吉林住院医师
>
吉林住院医师耳鼻咽喉科
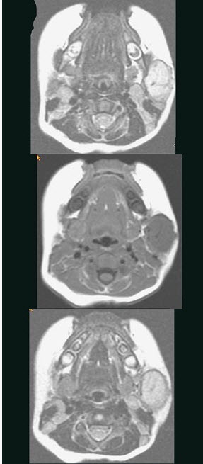
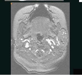
40岁,患者,左面部渐进性增大的包块,MRI检查如图所示,应考虑为()。
A、左面部毛细血管瘤
B、左面部囊肿
C、左面部脓肿
D、左面部脂肪瘤
E、左面部神经纤维瘤
正确答案:
A
答案解析:
有
进入题库查看解析
微信扫一扫手机做题
最新试题
·
40岁,患者,左面部渐进性增大的包块,M
·
颈动脉窦位于()。
·
由创伤所致的颈动脉瘤多位于()。
·
颈深淋巴结上群一般不收集哪一淋巴回流()
·
咽及食管闭合性损伤可出现()。
·
下列被颈深筋膜中层包绕的有()。
·
不易发生颈淋巴结转移的肿瘤是()。
·
患者,男性,19岁,因颈部肿块2年余入院
·
颈部5群淋巴结中,不包括()。
·
可发生颈部淋巴结肿大的疾病有()。
热门试题
·
颈部气管闭合性创伤症状可表现为()。
·
根据美国耳鼻咽喉头颈外科1991年制定和
·
颈淋巴结结核是()。
·
患者,女性,50岁,右侧颈中部偏下有一质
·
颈部蜂窝织炎致病细菌主要为()。
·
患者,男性,19岁,因颈部肿块2年余入院
·
下列哪些体征为诊断甲状舌管囊肿的依据()
·
胸导管瘘()。
·
Skandalakis总结的颈部包块的发
·
颈前三角不包括()。