多做题,通过考试没问题!
吉林住院医师耳鼻咽喉科
睦霖题库
>
吉林住院医师
>
吉林住院医师耳鼻咽喉科
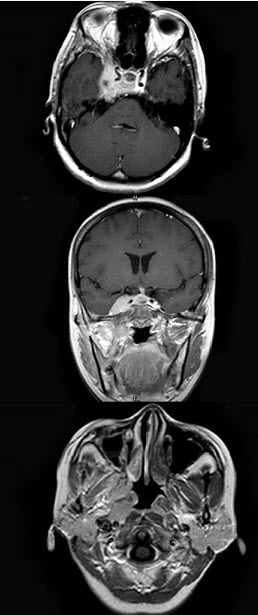
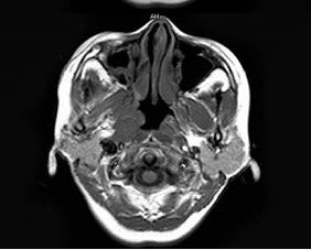
女,34岁。右侧听力下降,耳鸣2个月。MRI平扫及增强扫描如图示,最可能的诊断是()。
A、鼻咽癌
B、脑膜瘤
C、神经源性肿瘤
D、动脉瘤
E、未见异常
正确答案:
A
答案解析:
有
进入题库查看解析
微信扫一扫手机做题
最新试题
·
引起咽部异常感觉的器质性病变包括()。
·
引起咽部狭窄及闭锁包括()。
·
椎前隙位于()。
·
鼻咽癌累及滑车神经、动眼神经、外展神经时
·
男,61岁,流鼻血三天。如图所示最可能的
·
鼻咽部检查法不应()。
·
腺样体因鼻咽及邻近部位或自身炎症的反复刺
·
扁桃体周围间隙位于()。
·
鼻咽纤维血管瘤瘤体的组成为()。
·
诊断扁桃体周脓肿的依据有()。
热门试题
·
腭帆肌组的作用是()。
·
行纤维鼻咽镜检查时,如为腺样体肥大则可见
·
下列属于慢性扁桃体炎并发症的是()。
·
鼻咽癌患者放疗后的5年生存率()。
·
颈深部的咽旁隙的化脓性炎症()。
·
鼻咽纤维血管瘤的主要治疗方法是()。
·
喉咽部恶性肿瘤根据发生部位可位于()。
·
鼻咽癌累及迷走神经可致()。
·
阻塞性睡眠呼吸暂停综合征包括()。
·
腺样体在正常生理情况下开始退化的时间是(