多做题,通过考试没问题!
CT医师大型医用设备上岗证
睦霖题库
>
大型设备上岗证
>
CT医师大型医用设备上岗证
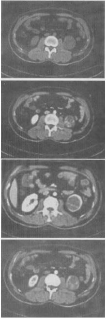
女,63岁,左腰部隐痛不适1个月余,CT平扫+增强如图所示,最可能的诊断是()。
A、左肾下极囊肿
B、左肾下极错构瘤
C、左肾下极癌
D、左肾下极脓肿
E、左肾下极淋巴瘤
正确答案:
C
答案解析:
有
进入题库查看解析
微信扫一扫手机做题
最热试题
·
腹部试题6
·
盆腔试题2
·
泌尿、生殖系统试题7
·
五官和颈试题1
·
骨骼系统试题1
·
颅脑试题6
·
胸部试题2
·
消化系统试题5
·
骨骼系统试题3
·
五官和颈试题2
最新试题
·
患者,女,26岁,端坐呼吸、乏力、腹胀,心音遥远,胸部正侧位摄
·
有关肝动脉造影CT(CTA)的描述错误的是:()
·
诊断骨质软化最可靠的征象是:()
·
下列关于肺部病变的好发部位的描述,错误的是()。
·
下列哪一项不属于CT对胃癌检查的主要作用()。
·
患者男,76岁,气喘数年,胸痛1个月余,结合图像,最可能的诊断
·
下列哪一项不是继发性腹膜肿瘤的常见扩散来源:()
·
下列关于CT值的概念,哪一项描述是正确的:()
·
肺内错构瘤的特征性X线表现是哪一项:()
·
关于支气管扩张CT表现的叙述,正确的是:()