多做题,通过考试没问题!
CT医师大型医用设备上岗证
睦霖题库
>
大型设备上岗证
>
CT医师大型医用设备上岗证
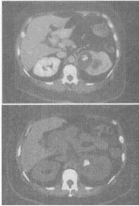
女,42岁,左侧腰痛伴尿频、尿急、尿痛,尿白细胞(++),尿细菌培养为大肠杆菌,根据所示图像,最可能的诊断是()。
A、左侧肾癌
B、左侧肾结核
C、左侧肾脓肿
D、左侧肾转移癌
E、左侧局限型黄色肉芽肿性肾盂肾炎
正确答案:
E
答案解析:
有
进入题库查看解析
微信扫一扫手机做题
最热试题
·
五官和颈试题3
·
消化系统试题5
·
腹部试题3
·
泌尿、生殖系统试题2
·
泌尿、生殖系统试题1
·
消化系统试题2
·
呼吸、循环系统试题5
·
腹部试题4
·
颅脑试题5
·
呼吸、循环系统试题8
最新试题
·
对支原体肺炎具有重要诊断意义的是()。
·
断动脉导管未闭首选的无创检查方法为()。
·
下列哪项不引起左心缘第二弓(肺动脉段)凹陷的是?()
·
患者左侧声带麻痹,CT扫描向下至少应到:()
·
中晚期食管癌表现不正确的是()。
·
下述哪项不是食管贲门失弛缓症的典型X线表现()。
·
关于腹膜后脂肪肉瘤的叙述,不正确的是()。
·
当疑有脑转移瘤时,首选的检查方法是:()
·
有关矽肺的叙述不正确的是()。
·
骨内膨胀性病变无周围硬化边缘,是下述哪一种疾病的X线征象之一: