多做题,通过考试没问题!
CT医师大型医用设备上岗证
睦霖题库
>
大型设备上岗证
>
CT医师大型医用设备上岗证
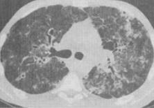
HIV患者咳嗽咳痰1个月余,伴发热,结合图像,最可能的诊断是()。
A、机会性肺部感染
B、卡氏肺囊虫性肺炎
C、卡波济肉瘤
D、肺淋巴瘤
E、间质性肺炎
正确答案:
B
答案解析:
有
进入题库查看解析
微信扫一扫手机做题
最热试题
·
四肢试题1
·
呼吸、循环系统试题6
·
腹部试题1
·
脊柱试题1
·
呼吸、循环系统试题9
·
物理基础和仪器设备试题1
·
腹部试题5
·
四肢试题2
·
呼吸、循环系统试题2
·
物理基础和仪器设备试题3
最新试题
·
下列关于脾血管瘤CT表现的说法,错误的是哪一项:()
·
下述疾病中不易引起胃扩张的是:()
·
弥漫性脂肪肝残留的肝岛,常见于:()
·
下列关于听神经瘤与三叉神经鞘瘤的CT鉴别诊断,错误的是哪一项:
·
关于腹主动脉的描述,错误的是()。
·
卵巢癌最常见播散途径是:()
·
关于膀胱三角区正确的描述是:()
·
下述能引起肺内大片阴影的是:()
·
小脑半球借小脑上脚连接:()
·
骨关节病变术后复查,不宜用CT扫描的情况是:()