多做题,通过考试没问题!
吉林住院医师耳鼻咽喉科
睦霖题库
>
吉林住院医师
>
吉林住院医师耳鼻咽喉科
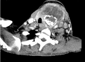
女,64岁,发现双甲状腺肿大一月余,CT如图所示,最可能诊断为()。
A、结节性甲状腺肿
B、甲状腺腺瘤
C、甲状腺癌并淋巴结转移
D、甲状腺转移癌
E、甲状腺结核
正确答案:
C
答案解析:
有
进入题库查看解析
微信扫一扫手机做题
最新试题
·
咽旁隙与下列哪些隙相邻,炎症可相互扩散(
·
颈部淋巴结包括()。
·
与咬肌隙相通的间隙包括()。
·
根据美国耳鼻咽喉头颈外科1991年制定和
·
声门旁间隙的后界()。
·
男,60岁,因吞咽疼痛伴咽异物感一个月就
·
颈淋巴结的晚期表现是()。
·
患者,女性,32岁,因发现颈部肿块一个月
·
较易发生颈部淋巴结转移的恶性肿瘤有()。
·
声门旁间隙的内下界()。
热门试题
·
50岁女性患者,体检发现右侧甲状腺有较硬
·
甲状腺腺癌多为()。
·
颈动脉鞘内有()。
·
下列哪种检查可以明确颈动-静脉瘘瘘口的部
·
长春新碱()。
·
女性,48岁,颈部包块3年,近来胸闷、憋
·
对颈部血管性包块既有诊断意义,又有治疗价
·
女,16岁,发现左颈部肿块两年,CT如图
·
气管开放性损伤可出现()。
·
颈深部脂肪瘤MRI检查()。