多做题,通过考试没问题!
CT医师大型医用设备上岗证
睦霖题库
>
大型设备上岗证
>
CT医师大型医用设备上岗证
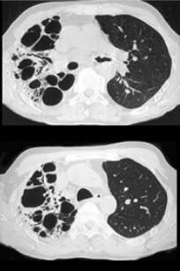
男,31岁,反复咳嗽,咯血10年余,结合影像学检查,最可能的诊断是()。
A、肺囊肿
B、间质性肺炎
C、肺曲菌病
D、支气管扩张
E、肺结核
正确答案:
D
答案解析:
有
进入题库查看解析
微信扫一扫手机做题
最热试题
·
物理基础和仪器设备试题3
·
五官和颈试题1
·
颅脑试题4
·
物理基础和仪器设备试题2
·
腹部试题5
·
盆腔试题2
·
呼吸、循环系统试题4
·
颅脑试题6
·
呼吸、循环系统试题3
·
呼吸、循环系统试题7
最新试题
·
主动脉瘤应尽早手术的指征是()。
·
以下关于松果体细胞瘤CT征象的叙述,错误的是:()
·
侧位胸片上,右肺中央型肺癌伴有右中叶、右下叶不张时,形成的征
·
骨质增生由下述哪种原因引起:()
·
关于肺动脉高压,下列描述哪项不对?()
·
CT对甲状腺癌的诊断作用主要是哪一项:()
·
下列关于脾梗死的说法哪一项是错误的:()
·
支气管肺隔离症的供血动脉主要来自:()
·
双侧大脑半球最大的连接结构是:()
·
患者,男,66岁,患糖尿病12年,近日发热、肝区疼痛。CT检查:右