多做题,通过考试没问题!
甘肃住院医师急诊科
睦霖题库
>
甘肃住院医师
>
甘肃住院医师急诊科
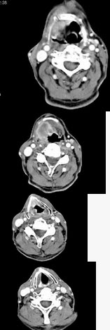
男,63岁,咽喉部不适约一年,近2个月经常咳嗽,痰中带有血丝,CT如图所示,应诊断为()
A、梨状窝癌
B、声门型喉癌
C、声门下型喉癌
D、声门上型喉癌
E、混合型喉癌
正确答案:
D
答案解析:
有
进入题库查看解析
微信扫一扫手机做题
最新试题
·
男性,32岁,4天前,用锤子敲打石头时右
·
电光性眼炎临床表现下列说法错误的是()
·
玻璃体积血时,最常见的并发症为()
·
行喉额前部分切除术适用于()
·
脑脊液来自蝶筛隐窝者,瘘孔在()
·
肝功能损害引起的鼻出血的原因()
·
患者男,45岁,石灰溅入右眼后眼痛、视力
·
咽鼓管功能不良所致的中耳粘膜病理变化包括
·
不是鼓膜内陷特征的是()
·
不属于机械性眼外伤的是()
热门试题
·
应用于开角型青光眼降眼压治疗最广泛的药(
·
颞骨骨折类型不包括()
·
简述慢性化脓性中耳炎的处理原则。
·
飞蚊症(Myodesopsia)的直接原
·
试述耳廓化脓性软骨膜炎的临床特点及处理原
·
患者,男,45岁,农民,右眼被谷粒击伤后
·
患者,男,36岁,双眼视力逐渐下降3年。
·
与机械性眼外伤预后相关的因素有()
·
25岁女性,车祸伤及面部,X线及CT检查
·
急性化脓性中耳炎临床表现描述有误的是()