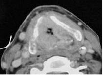
男,55岁,声嘶6年,有长期吸烟史。检查:无呼吸困难。喉镜检查:声带慢性充血,可见右侧声带可见菜花样新生物,右侧声带活动固定,喉部CT检查如下图:
如果病理发现恶性肿瘤细胞,了解病灶情况最有价值的辅助检查是()。
- A、纤维喉镜
- B、动态喉镜
- C、喉MRI
- D、喉X线
- E、喉B超
正确答案:A
答案解析:有

微信扫一扫手机做题
男,55岁,声嘶6年,有长期吸烟史。检查:无呼吸困难。喉镜检查:声带慢性充血,可见右侧声带可见菜花样新生物,右侧声带活动固定,喉部CT检查如下图:
如果病理发现恶性肿瘤细胞,了解病灶情况最有价值的辅助检查是()。

微信扫一扫手机做题