多做题,通过考试没问题!
吉林住院医师耳鼻咽喉科
睦霖题库
>
吉林住院医师
>
吉林住院医师耳鼻咽喉科
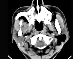
男性38岁,左侧腮腺渐进性肿大一年,无压痛,CT扫描如图所示,请选择正确的描述和结论()。
A、左侧腮腺区见低密度肿块,CT值约为-200Hu
B、肿块边缘清楚,未见邻近结构受侵
C、考虑为囊肿
D、考虑为脂肪瘤
E、考虑为血管瘤
正确答案:
A,B,D
答案解析:
有
进入题库查看解析
微信扫一扫手机做题
最新试题
·
咽及食管开放性损伤可出现()。
·
颈淋巴结结核多发人群是()。
·
50岁女性患者,体检发现右侧甲状腺有较硬
·
某患者,右侧胸锁乳突肌前缘下端可见一瘘孔
·
颈淋巴结的晚期表现是()。
·
女性,46岁,右颈部无痛性包块,质软,M
·
鼻咽癌早期可转移至同侧()。
·
颈部淋巴结包括()。
·
女,19岁,发现左颈部无痛性肿块2年余,
·
B超检查()。
热门试题
·
第一鳃裂瘘管外瘘口多位于(),内瘘口多位
·
CT检查()。
·
不易发生颈淋巴结转移的肿瘤是()。
·
患者,女性,32岁,因发现颈部肿块一个月
·
Ⅳ区()。
·
下列哪项不是颌内动脉的分支()。
·
用于诊断颈动脉创伤性栓塞的方法包括()。
·
Skandalakis总结的颈部包块的发
·
颈动脉创伤性栓塞可出现()。
·
颈部血管瘤的治疗不包括()。