多做题,通过考试没问题!
CT医师大型医用设备上岗证
睦霖题库
>
大型设备上岗证
>
CT医师大型医用设备上岗证
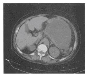
患者,男性,32岁。突发上腹痛1个月,疼痛剧烈伴发热,血清淀粉酶升高。CT检查见附图,最可能的诊断是()。
A、胰腺浆液性囊腺瘤
B、胰岛细胞瘤
C、急性胰腺炎并假囊肿形成
D、胰腺癌
E、小肠肿瘤
正确答案:
C
答案解析:
有
进入题库查看解析
微信扫一扫手机做题
最热试题
·
四肢试题1
·
呼吸、循环系统试题5
·
腹部试题6
·
腹部试题4
·
物理基础和仪器设备试题2
·
颅脑试题3
·
颅脑试题5
·
胸部试题1
·
盆腔试题2
·
脊柱试题2
最新试题
·
以下哪一项CT表现不支持子宫肌瘤的诊断:()
·
肝癌最有特征性的CT表现是:()
·
骨骺板软骨损伤了哪一层软骨细胞可发生永久性生长障碍:()
·
下述哪项是良性胸膜间皮瘤的特征性征象:()
·
股骨头无菌坏死早期诊断的最佳CT检查方法是:()
·
头颅增强CT扫描,延迟时间一般为:()
·
骨质破坏的基本X线表现是:()
·
十二指肠与许多后腹膜结构为邻,最容易侵犯十二指肠的病变是:(
·
晕轮征对哪种肺真菌病的诊断价值最大:()
·
肺隔离症血供最常见于来自:()