多做题,通过考试没问题!
CT医师大型医用设备上岗证
睦霖题库
>
大型设备上岗证
>
CT医师大型医用设备上岗证
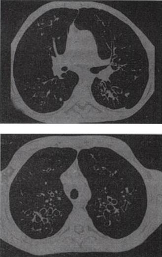
患者,男,38岁,咳嗽、咳痰、咯血,结核菌素实验(-),结合CT图像,最可能的诊断是()。
A、支气管扩张
B、肺囊虫病
C、肺囊肿
D、间质性肺炎
E、特发性肺间质纤维化
正确答案:
A
答案解析:
有
进入题库查看解析
微信扫一扫手机做题
最热试题
·
脊柱试题1
·
颅脑试题2
·
呼吸、循环系统试题3
·
盆腔试题1
·
四肢试题1
·
呼吸、循环系统试题2
·
胸部试题2
·
胸部试题5
·
呼吸、循环系统试题6
·
呼吸、循环系统试题8
最新试题
·
原发性眼眶炎性假瘤多发生在:()
·
胃肠道平滑肌源性肿瘤的生长方式有四种,不包括下列哪项:()
·
男性,56岁。有动脉粥样硬化病史。突然感到剧烈刀割样胸痛2小时,
·
支气管扩张的X线特点不包括()。
·
结直肠癌的最好发部位是:()
·
上颌窦癌向后侵犯,可导致:()
·
腮腺混合瘤CT常见增强表现是:()
·
引起上腔静脉阻塞最常见的病因是:()
·
早期声带癌CT可表现为:()
·
恶性胸膜间皮瘤的转移途径是:()