多做题,通过考试没问题!
吉林住院医师耳鼻咽喉科
睦霖题库
>
吉林住院医师
>
吉林住院医师耳鼻咽喉科
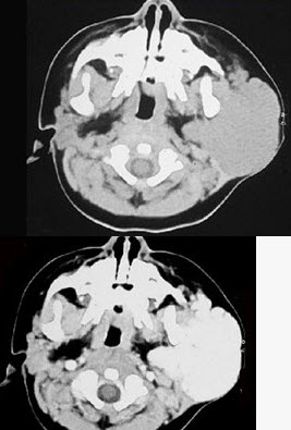
1岁女孩,左耳垂下进行性增大肿块3个月,触之质软,下面是其颈部CT检查结果,其中左图是普通扫描,右图是增强扫描。请问,患者最可能的诊断是()。
A、腮腺混合瘤
B、腮腺腺样囊性癌
C、腮腺血管瘤
D、腮腺淋巴结结核
E、腮腺黏液表皮样癌
正确答案:
C
答案解析:
有
进入题库查看解析
微信扫一扫手机做题
最新试题
·
下列哪项不是颅内先天性肿瘤()。
·
治疗气管闭合性损伤的原则是()。
·
颈部淋巴结结核多发生于()。
·
甲状舌管瘘管常穿过()。
·
对真性动脉瘤的描述,正确的是()。
·
颈动脉鞘内有()。
·
某患者,左侧颈部胸锁乳突肌前缘及舌骨水平
·
下列哪个病人不宜作MRI检查()。
·
气管闭合性损伤的处理原则为()。
·
颈动脉三角区圆形肿块,质硬,边界清。可以
热门试题
·
颈部恶性肿块中80%是原发癌。()
·
女,25岁、发现双侧颈部肿块近10年,C
·
女性,54岁,右侧颈部肿大近1年,近来病
·
咽后隙形成的脓肿其脓液可波及()。
·
鼻咽癌放疗后颈部残存的淋巴结转移灶适于(
·
女,50岁,左下颈部扪及一质硬、表面高低
·
肺部结核感染颈部淋巴结的途径是()。
·
DSA检查在颈部主要应用于()。
·
可发生颈部淋巴结肿大的疾病有()。
·
颌下腺、颌下淋巴结位于()。