多做题,通过考试没问题!
CT医师大型医用设备上岗证
睦霖题库
>
大型设备上岗证
>
CT医师大型医用设备上岗证
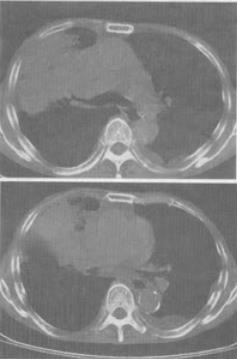
男,68岁,胸闷,咳痰,咯血2月余,胸部CT如图,最可能的诊断为()。
A、右上肺不张
B、右肺中央型肺癌
C、右上肺炎
D、右上肺肉瘤
E、肺炎性假瘤
正确答案:
B
答案解析:
有
进入题库查看解析
微信扫一扫手机做题
最热试题
·
颅脑试题6
·
呼吸、循环系统试题7
·
呼吸、循环系统试题6
·
颅脑试题1
·
腹部试题6
·
脊柱试题1
·
腹部试题3
·
物理基础和仪器设备试题3
·
腹部试题5
·
物理基础和仪器设备试题1
最新试题
·
外伤性脑水肿治疗有效时,脑室的动态变化表现为:()
·
下列有关脂肪肉瘤的CT表现中,错误的是哪一项:()
·
以下关于周围型肺癌CT表现的描述哪一项是不正确的:()
·
关于腹膜肿瘤的CT表现,错误的是哪项:()
·
豆状核由内到外依次为:()
·
准直后穿过人体的X线经探测器转换所得到的数据,称之为:()
·
患儿,男,6岁,发热,咳嗽,心悸、乏力,胸片示:双肺纹理增粗,
·
间脑不包括:()
·
下列关于X线穿透物质后强度变化的论述正确的是:()
·
脊柱创伤时,CT检查不易显示的病变是:()