多做题,通过考试没问题!
CT医师大型医用设备上岗证
睦霖题库
>
大型设备上岗证
>
CT医师大型医用设备上岗证
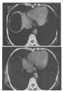
患者男,30岁,右下腹稍隆起,CT检查如图,最可能的诊断为()。
A、右膈下脓肿
B、间位结肠
C、右膈下脂肪瘤
D、右下肺肺大疱
E、右下肺炎
正确答案:
C
答案解析:
有
进入题库查看解析
微信扫一扫手机做题
最热试题
·
呼吸、循环系统试题5
·
胸部试题1
·
四肢试题1
·
颅脑试题4
·
呼吸、循环系统试题7
·
呼吸、循环系统试题9
·
呼吸、循环系统试题4
·
颅脑试题2
·
胸部试题4
·
腹部试题6
最新试题
·
患儿,男,1周岁,顽固性便秘数月,腹胀,无呕吐,钡剂灌肠示直肠
·
最容易产生囊性变的椎管内神经源性肿瘤是:()
·
良性前列腺增生(BPH)的典型CT表现是:()
·
患者,男,30岁,右耳流脓1年,鼓膜穿孔。CT显示外耳道棘骨消失,
·
以下关于周围型肺癌CT表现的描述哪一项是不正确的:()
·
请指出下列疾患中不宜做静脉泌尿系统造影的是:()
·
后颅凹CT扫描基线取:()
·
关于阑尾的CT检查和阑尾炎临床表现的叙述中,错误的是:()
·
下列关于脊髓室管膜瘤,不正确的是:()
·
X线成像的基础不包括:()