多做题,通过考试没问题!
CT医师大型医用设备上岗证
睦霖题库
>
大型设备上岗证
>
CT医师大型医用设备上岗证
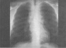
患者男,21岁,1个月前触及颈部淋巴结肿大,现有上腔静脉综合征,结合胸片,最可能的诊断()。
A、结节病
B、淋巴结核
C、转移性淋巴结肿大
D、淋巴瘤
E、胸腺瘤
正确答案:
D
答案解析:
有
进入题库查看解析
微信扫一扫手机做题
最热试题
·
四肢试题1
·
呼吸、循环系统试题3
·
盆腔试题1
·
呼吸、循环系统试题6
·
五官和颈试题1
·
腹部试题1
·
腹部试题2
·
物理基础和仪器设备试题3
·
颅脑试题3
·
腹部试题4
最新试题
·
肾上腺出现钙化较多的肿瘤是:()
·
对支气管肺段的描述如图,正确的是()。
呈速升速降型时间-密度曲线的病灶,或者动脉期呈高密度,门静脉期
·
诊断腰椎侧隐窝狭窄,其前后径CT测量值至少应:()
·
患者60岁,男,有长期吸烟史,左声带麻痹、声音嘶哑2个月,结合
·
正常女性盆腔不正确描述是:()
·
下列脑膜瘤CT表现的描述中,哪一项比较正确:()
·
关于肺错构瘤的CT表现,不正确的是:()
·
患儿,男,2岁。头痛,CT轴位平扫示双侧额顶部半月形脑脊液密度,
·
肺炎性假瘤的本质是炎性增生,其病理改变是:()