多做题,通过考试没问题!
CT医师大型医用设备上岗证
睦霖题库
>
大型设备上岗证
>
CT医师大型医用设备上岗证
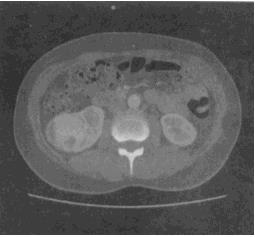
患者,52岁。无痛性血尿4天。双侧肾区CT平扫加增强扫描如图所示。最有可能的诊断是()。
A、肾囊肿
B、肾结核
C、肾错构瘤
D、肾盂癌
E、肾癌
正确答案:
E
答案解析:
有
进入题库查看解析
微信扫一扫手机做题
最热试题
·
呼吸、循环系统试题6
·
泌尿、生殖系统试题4
·
物理基础和仪器设备试题3
·
颅脑试题5
·
盆腔试题1
·
呼吸、循环系统试题1
·
呼吸、循环系统试题2
·
颅脑试题4
·
胸部试题2
·
呼吸、循环系统试题3
最新试题
·
关于急性血源性骨髓炎的叙述不正确的是()。
·
下列关于肝门解剖结构的排列,正确的是:()
·
以下哪一征象并非是结肠癌引起浆膜及邻近器官受侵的可靠征象:(
·
静脉注射对比剂后CT扫描不出现环状增强的病变是:()
·
CT在膀胱癌诊断上的主要作用是:()
·
下列关于肾筋膜和肾周间隙的描述,哪一项是错误的:()
·
关于腹膜肿瘤的错误描述是哪一项:()
·
肺内病变正确诊断首先是确定:()
·
肺囊肿继发感染时可出现下列哪项征象()。
·
病变与周围组织密度接近,为突出病变,CT窗的调整应为:()